腎癌に対する凍結療法
凍結療法は最近注目されているがんに対する低侵襲治療のひとつです。超高圧のアルゴンガスによる -40℃のアイスボール (氷)で、癌を凍結し死滅させる治療法で、局所麻酔下で、CT画像で確認しながら経皮的(非手術的)に針を刺入し、治療を行います。

高知大学に導入した凍結治療用機器
(日立製作所提供)
凍結治療用の専用穿刺針
(日立製作所提供)
2011年7月小径腎癌に対する凍結療法が保険適応になりました。高知大学医学部附属病院では2016年2月に凍結療法機器を導入しました。3月から、本院画像下治療(IVR)センターと共同で、当治療機器を用いて腎腫瘍に対し経皮的凍結療法を行っています。2020年12月現在、約50件の治療を行い良好な成績をおさめています。

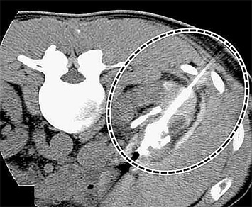
CT画像による右腎腫瘍

腎腫瘍に治療用針を刺入し凍結治療中
現在、本治療を施行できる施設は全国的に少数です。
尚、現在凍結療法は腎腫瘍に対し保険適応となっています。










