対象となる疾患と治療
.
呼吸器外科で扱う疾患について
肺悪性疾患 |
原発性肺がん、転移性肺がん |
|---|
肺良性疾患 |
肺良性腫瘍、肺膿瘍、肺感染症(抗酸菌、真菌など) |
|---|
縦隔疾患 |
縦隔腫瘍、縦隔炎 |
|---|
胸膜疾患 |
気胸、悪性胸膜中皮腫 |
|---|
胸腔疾患 |
膿胸、血胸、乳糜胸、水胸(胸水貯留) |
|---|
胸壁疾患 |
漏斗胸、鳩胸、胸壁変形、腫瘍 |
|---|
気道疾患 |
がんや炎症による気管・気管支狭窄、気道出血 |
|---|
外傷 |
肺損傷、肋骨骨折、胸骨骨折、気管・気管支損傷、胸腔内出血 |
|---|
先天性疾患 |
嚢胞性疾患、肺気腫、肺分画症 |
|---|
横隔膜疾患 |
横隔膜ヘルニア、腫瘍、月経随伴性気胸、腹腔胸腔交通症、横隔膜弛緩症 |
|---|
その他 |
重症筋無力症、手掌多汗症、びまん性肺疾患、胸部各種感染症 |
|---|
.
以下に、呼吸器外科で扱う代表的な疾患について説明します。
.
肺の悪性腫瘍について
肺の悪性腫瘍には、肺から発生した原発性肺がんと、他の臓器に発生した悪性腫瘍から転移した転移性肺がんがあります。原発性肺がんは大きく二つに分類され、非小細胞がん(腺癌、扁平上皮癌、大細胞癌など)と小細胞がんがあります。肺の悪性腫瘍の大半は原発性肺がんですが、高知大学病院では他領域でも多くの種類のがんを治療していますので、多くの転移性肺がんの手術を行っています。
.
原発性肺がん
呼吸器外科で最も多く治療するのが原発性肺がんです。2019年に肺がんで亡くなった方は75,394人でした。すべての癌のうち罹患数は大腸がん、胃がんについで第3位、死亡数は第1位、(男性1位、女性では第2位)であり、いまだ増加傾向を示しています。検診の普及により早期の肺癌が増えていますが、依然として進行肺癌も増えています。原発性肺癌はその大きさや周囲組織への浸潤の有無、リンパ節転移の有無、遠隔転移の有無などでI期からIV期までの病期が診断されます。一般的にはIII期の一部までが手術適応とされています。肺癌に対しては標準手術として肺葉切除が行われてきました。最近ではJCOG0802試験の結果を受けて2㎝未満の病変においては切除する範囲を狭くした区域切除が多く行われるようになってきました。(手術などの治療法へ)
原発性肺癌のCT所見

- 典型的な原発性肺癌

- 早期の肺腺癌
.
転移性肺がん
転移性肺腫瘍はさまざまな臓器の固形がんが肺に血行性転移した状態です。原発病巣の腫瘍の性格を考慮し、肺転移の切除適応の有無を検討します。手術適応となるのは原則的に以下の条件にあてはまる場合です。
1・原発病巣が制御されていること
2・肺以外に転移がないか、あっても制御できていること
3・肺転移がすべて切除可能であること
4・肺転移切除後に日常生活が可能な体力があること
2・肺以外に転移がないか、あっても制御できていること
3・肺転移がすべて切除可能であること
4・肺転移切除後に日常生活が可能な体力があること
肺は他の臓器に発生した悪性腫瘍が転移しやすい臓器です。肺に転移しやすい「がん」が発生する臓器としては大腸、乳房、腎臓などがあります。それぞれのがんの原発部位の腫瘍が十分コントロールされている場合には、肺の転移巣を切除すると予後の延長が得られることが報告されています。これら転移性肺腫瘍の手術は通常、胸腔鏡下手術で切除を行います。病巣の存在場所によって、肺の一部を切除する部分切除術や、さらに広い範囲をブロックごと切除する区域切除術などを行います。また、必要があれば肺葉切除を行う場合もあります。最も対象となる症例の多い大腸癌肺転移手術後の5年生存率は、有効な化学療法のない時代では約50%でしたが、化学療法導入後では約72%と著明に改善しました。原発部位を担当する主科と連携をとりながら、肺転移に対しても積極的に外科療法に取り組んでいます。
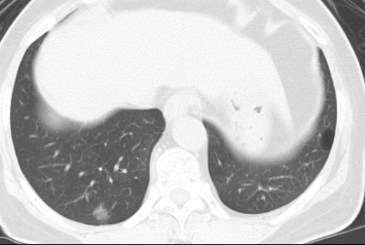
転移性肺癌のCT所見
.
縦隔腫瘍
縦隔とは左右の肺と胸椎(脊椎)、胸骨に囲まれた部位で胸部レントゲンとCTでは図のような部位を指します。この縦隔に様々な種類の腫瘍が発生します。解剖学的に上縦隔、前縦隔、中縦隔、後縦隔に分けることができます。前縦隔には胸腺腫瘍(胸腺腫、胸腺癌、良性腫瘍)、胸腔内甲状腺腫、奇形腫などの良性/悪性胚細胞腫などが、中縦隔には気管支原性嚢胞、心膜嚢胞などが、後縦隔には神経原性腫瘍などが発生します。また、縦隔にはリンパ腫が発生することもあります。症状は腫瘍がかなり大きくなるまではでないため、検診などで発見されることがほとんどです。治療法は原則として手術となります。また腫瘍の種類によっては抗がん剤などの薬物療法や放射線療法が必要となる場合があります。他臓器浸潤例に対しても集学的治療のうえ、大血管、肺などの合併切除も行っています。縦隔腫瘍の中で最も多いのが、前縦隔に発生する腫瘍で、それは胸腺という組織に発生する胸腺腫です。胸腺腫はしばしば重症筋無力症という難病を伴います。当科では、神経内科との綿密な連携でこの難病を併発する胸腺腫の治療を安全に行っています。また、縦隔腫瘍の多くは良性であっても周囲臓器への圧迫や内部の出血や炎症により胸痛を生じることもあり、発見されたら原則として手術をお勧めします。
前縦隔腫瘍のCT所見

- 胸腺腫

- 奇形種
嚢胞性肺疾患
自然気胸、巨大肺嚢胞、進行した肺気腫が代表として挙げられます。自然気胸は突然発症する呼吸困難や胸痛などによって診断されることがあります。この中で肺気腫や肺線維症に併発して生ずる自然気胸は、それまでの肺疾患による呼吸困難の増悪と十分区別されない場合もあるので注意が必要です。原因の多くは喫煙であり、肺気腫では呼吸困難が徐々に進行するため、十分に自覚されない場合もあります。肺気腫の一部の症例では、手術により症状や呼吸機能検査成績が改善するものもあるため手術の適応となります。これらの嚢胞性疾患に対しては、通常保存的な(内科的な)治療が優先されます。保存的な治療で軽快しない場合や再発する自然気胸、増大する巨大肺嚢胞、一部の肺気腫が当科では治療の対象となります。当科ではいずれの場合も原則的に胸腔鏡下手術で治療を行っています。
.
自然気胸
気胸とは肺から空気がもれて、胸腔にたまっている状態をいいます(肺が虚脱します)。10歳台後半、20歳代、30歳代に多く、やせて胸の薄い男性に多く発生します。肺の一部がブラと呼ばれる袋になり、ここにある時、穴が開くのです。これは運動をしているときに起こすわけではありません。交通事故やナイフで刺されたというような、明らかな理由もなく発生するので、これを自然気胸と呼びます。自然気胸では肺に穴が開いて、一時的に空気が漏れますが、多くはすぐに閉じてしまいます。漏れた空気は血液に溶け込んで次第に消失します。気胸の問題点は、穴がふさがらず、空気が漏れ続けるときです。また、しばしば再発を起こすことも問題です。肺気腫(はいきしゅ)や肺がんのように、何か肺の病気があり、これが原因となって起こるときは続発性気胸と呼んでいます。続発性自然気胸は肺の病気を持っている人になりますから、比較的高齢者に多い病気です。気胸を未治療のまま放っておくと『緊張性気胸』という生命にかかわる状態となることがあります。

- 自然気胸の胸部X線所見

- 肺嚢胞




