高知大学医学部附属病院(代表)088-866-5811
〒783-8505 高知県南国市岡豊町小蓮185-1
![]() |
検査前は絶食、鎮静剤等の術前処置を行います。経皮的に鼠径部または上肢(肘部、手首部)の動脈・静脈を穿刺針で穿刺し、次いで穿刺針の内筒を抜きガイドワイヤーを血管内に挿入進行させます。次いで、シース(血液の逆流を防ぐバルブ付の短い管)を穿刺部に挿入し、そこからカテーテルをガイドワイヤーにかぶせて血管内に進行させ、適当な位置でガイドワイヤーを抜きます。カテーテルの大きさ(内径・外径)、長さ、先端の位置などは、目的の血管に合わせて使い分けます。 |
| カテーテルが目的の位置に達したとき、そこで造影剤を手動、または自動挿入装置を用いて圧入します。撮影時間・方法、造影剤の注入量・速度により、動脈相、毛細血管相、静脈相が映し出されます。この画像により、診断あるいは治療をその場で施します。診断または治療が終わるとカテーテル、シースを抜き、止血をして検査は終了します。 | |

![]() |
血管造影室(1) 主に心臓カテーテル検査が行われています。 フラットパネルディテクタ(FPD)を装備したBi-Plane装置で正・側同時撮影ができます。検査だけでなく、心臓カテーテル治療やアブレーションなども行っています。 |
|
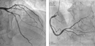
| 冠動脈画像(DR画像) | ||

![]() |
血管造影室(2) 開口が大きな16列CTを備えており、CT透視下生検、RF治療等血管造影検査以外のCTを利用した検査やIVRが可能です。 DSAは視野16インチの大視野FPDを備えており、3D-DSA、回転DSA、ステッピングDSAも可能な装置です。また、ワークステーションとオンライン接続されており、種々の解析が可能になっております。 |
| 腹部画像(DSA画像) |

![]() |
血管造影室(3) 正面は16インチ、側面は12インチのFPDを備えたBi-PlaneDSA装置です。 3D-DSA、回転DSA、ステッピングDSAも可能な装置です。また、ワークステーションとオンライン接続されており、種々の解析が可能になっております。 |
| 頭部血管像(DSA画像) |
![]() |
実際の検査の風景です。 肝臓がんに対する血管塞栓術を行っています。カテーテルを目的部位に操作し、CT、DSAで確認します。 そして、抗がん剤、塞栓剤を流し治療を行います。 |
![]() |
こちらは、頭頸部の血管造影検査に就いている技師です。検査を行っている医師が手技を行いやすいように、必要とする画像をモニター上に映し出しています。 また、医師の指示の下、造影剤を注入し、写真を撮るのも技師の仕事です。 |

![]() |
![]() |
![]() |
![]() |
![]() |
![]() |
〒783-8505
高知県南国市岡豊町小蓮185-1
TEL 088-866-5811